20+ let zkušeností v implantologii
Specializovaná zubní ordinace MĚSTO
Nejlepší ceny zubních implantátů
Certifikovaný zubní lékař pro zavedení implantátů
Co je zubní implantát?
Zubní implantát je moderní náhrada chybějícího zubu, která nahrazuje nejen viditelnou část zubu, ale také jeho kořen. Jde o malý šroubovitý váleček, který se zavádí do čelistní kosti a slouží jako pevný základ pro upevnění korunky, můstku nebo protézy.
Implantát se nejčastěji vyrábí z titanu, který je biokompatibilní a umožňuje pevné spojení s kostí (tzv. osseointegraci). Pro pacienty s vyššími estetickými nároky nebo alergiemi na kovy existují i zirkonové implantáty, které jsou bílé a neobsahují kovy.
Větší část implantátu je pevně zakotvena v kosti čelisti, zatímco menší část vystupuje do úst a tvoří základ pro upevnění zubní korunky nebo můstku.
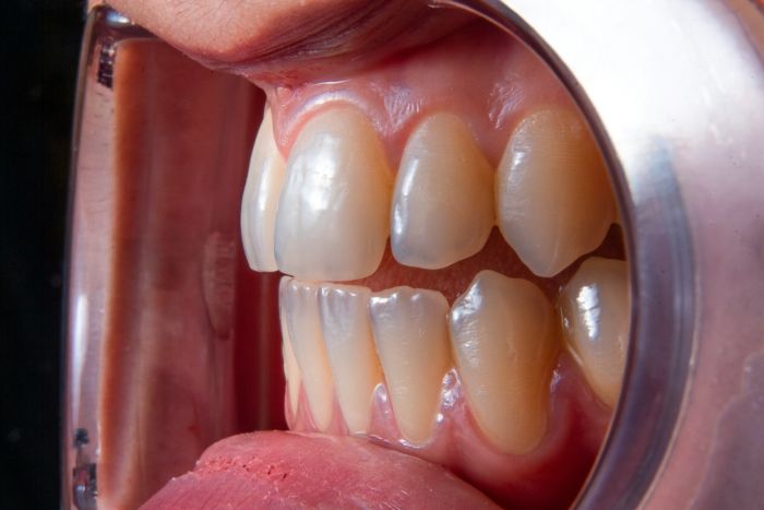
Díky zubním implantátům lze dosáhnout přirozeného vzhledu a funkčnosti, aniž by bylo nutné brousit sousední zdravé zuby, jak je tomu u tradičních můstků.


Proč zvolit zubní implantáty?
Zubní implantáty představují nejmodernější a nejefektivnější řešení náhrady chybějících zubů. Na rozdíl od klasických můstků nebo snímatelných protéz poskytují maximální stabilitu, přirozený vzhled a dlouhou životnost.
Hlavní výhody a důvody, proč se rozhodnout pro zubní implantáty:
- Přirozený vzhled a funkčnost – implantáty vypadají a fungují jako skutečné zuby, což poskytuje přirozený vzhled i pocit.
- Ochrana čelistní kosti – stimulují kost a zabraňují jejímu úbytku, který může nastat po ztrátě zubu.
- Komfort a stabilita – na rozdíl od protéz se implantáty nehýbou ani nevypadávají, což zajišťuje stabilitu a pohodlí.
- Dlouhá životnost – při správné péči mohou implantáty vydržet celý život, což z nich činí dlouhodobou investici.
Žádné poškození okolních zubů – při umístění implantátů není potřeba brousit sousední zdravé zuby, což je nutné u můstků.


Jak dlouho trvá proces implantace a jak to probíhá?
Celý proces implantace zubního implantátu zahrnuje několik fází a může trvat několik měsíců. Vše záleží na individuálních okolnostech.
Zavedení zubního implantátu zpravidla probíhá v těchto fázích:
Konzultace a plánování
zubní lékař provede důkladné vyšetření, včetně 3D skenu čelisti, a navrhne optimální řešení.
Samotná implantace
implantát se zavádí chirurgicky do čelistní kosti v lokální anestezii. Zákrok je bezbolestný a trvá obvykle 30–60 minut.
Hojení a srůstání s kostí (osseointegrace)
trvá přibližně 2–6 měsíců, během nichž se implantát pevně spojí s kostí.
Připojení tzv. abutmentu a otisk pro protetickou náhradu
po úspěšné osseointegraci se na implantát připevní spojovací část a zhotoví se otisk pro výrobu korunky, můstku nebo protézy.
Nasazení definitivní náhrady
individuálně vyrobená korunka nebo můstek je připevněn na implantát, čímž je náhrada zubu dokončena.
Kdy se zubní implantáty používají?
Zubní implantáty lze použít v různých situacích:
- Náhrada jednoho zubu – implantát nahradí kořen zubu a na něj se upevní korunka.
- Náhrada více zubů – několik implantátů může sloužit jako opora pro můstek.
- Náhrada celé čelisti – metody jako All-on-4 nebo All-on-6 umožňují fixaci celé zubní náhrady na několik implantátů, čímž se vyhnete snímatelným protézám.


All-on-4 a All-on-6 jsou metody zubních implantátů, které se používají pro náhradu celého zubního oblouku (horního nebo dolního) jedním pevným mostem, přičemž je použito 4 nebo 6 implantátů jako podpory pro tento most.
- All-on-4: Tento postup zahrnuje umístění čtyř implantátů do čelisti. Dva implantáty jsou umístěny dopředu, kde je kosti více, a dva implantáty jsou umístěny pod úhlem, což umožňuje lepší stabilitu i v oblasti, kde je kosti méně. Díky tomu je možné nahradit celou řadu zubů na jedné čelisti (horní nebo dolní) pouze čtyřmi implantáty, což znamená, že chirurgický zákrok je méně invazivní a doba rekonvalescence je kratší. Tento způsob je ideální pro pacienty, kteří mají ztrátu většiny zubů, ale stále dostatečnou kostní strukturu.
- All-on-6: Tento přístup používá šest implantátů k zajištění ještě pevnější a stabilnější podpory pro celý zubní oblouk. Vhodné je to především pro pacienty, kteří mají více ztrátové kosti nebo potřebují větší stabilitu. Šest implantátů poskytuje lepší rovnoměrné rozložení zátěže a často je voleno pro pacienty, kteří očekávají vyšší zátěž na náhradu zubů, například pro osoby, které mají vyšší nároky na funkčnost a stabilitu.
Oba postupy mají výhody:
- Rychlejší výsledky – díky těmto metodám pacienti často získají nový zubní oblouk v relativně krátkém čase.
- Stabilita a funkčnost – implantáty poskytují pevnou a stabilní náhradu, která funguje podobně jako vlastní zuby, což znamená, že pacient může jíst a mluvit bez problémů.
- Zachování kosti – implantáty stimulují čelistní kost a pomáhají jí udržet, což je důležité pro zdraví ústní dutiny.
Obě metody představují efektivní a trvalé řešení pro pacienty s vážnými problémy se zuby, kteří hledají alternativu k tradičním zubním protézám.
Pro koho jsou zubní implantáty vhodné?
Zubní implantáty jsou ideálním řešením pro každého, kdo:
ztratil jeden nebo více zubů
A chce dobře vypadající a funkční náhradu.
chce stabilní a estetickou náhradu místo snímatelné protézy
Protože řešení pomocí protézy nemusí spoustě lidem vyhovovat.
má dostatečné množství kvalitní kosti pro zavedení implantátu
A v případě že nemá je ochoten probrat možnosti augmentace kosti.
hledá dlouhodobé a funkční řešení náhrady zubů
Protože se třeba spálil s ostatními možnostmi v minulosti.
Typy a materiály implantátů
Zubní implantáty se liší podle materiálu a konstrukce. Nejčastěji se používají:
Titanový implantát
nejběžnější typ, který je vysoce biokompatibilní a pevný.
Zirkonové implantáty
estetická a kovu prostá alternativa, ideální pro pacienty s alergiemi nebo vyššími estetickými požadavky.
Jak vybrat vhodný implantát a místo implantace?
Výběr správného implantátu závisí na několika faktorech:
Množství a kvalita čelistní kosti – dostatek zdravé kosti je klíčový pro úspěšnou integraci implantátu.
Lokalizace chybějícího zubu – v esteticky exponovaných oblastech (přední zuby) se často volí zirkonové implantáty.
Celkový zdravotní stav pacienta – cukrovka, osteoporóza nebo kouření mohou ovlivnit hojení implantátu.
Typ zubní náhrady – individuální požadavky pacienta určují, zda bude použit jeden implantát, můstek nebo celková protéza.


Značky zubních implantátů
Pracujeme s osvědčenými značkami implantátů, jako jsou Straumann a Neodent, které jsou celosvětově uznávané pro svou kvalitu, inovativní technologie a vysokou úspěšnost integrace do kosti.
Straumann je švýcarská značka, která je lídrem v oblasti zubní implantologie a její produkty jsou známé svou dlouhou historií a vysokými standardy. Neodent je brazilská značka, která se etablovala na mezinárodním trhu díky své cenové dostupnosti a spolehlivosti. Obě společnosti se specializují na vývoj implantátů, které poskytují optimální výsledky a zajišťují dlouhodobou stabilitu pro pacienty po celém světě.


Cena zubních implantátů
Implantáty MĚSTO cena
Cena zubních implantátů se liší podle použitého materiálu, typu implantace a dalších faktorů. Přesnou cenu vám rádi sdělíme na konzultaci.
Konečná cena se může lišit v závislosti na řadě faktorů, které ovlivňují celkovou náročnost a rozsah ošetření, včetně:
Typu zvoleného implantátu
titanový nebo zirkonový
Množství potřebné kostní tkáně
a případné augmentace
Typu a materiálu
Finální korunky
Značky a řady implantátu
(Straumann, Neodent)
Stavu dásní
a potřeby úpravy měkkých tkání
Nutnosti
předchozí extrakce zubu
Použití
navigované implantace
Potřeby ošetření
okolních zubů
Celkové náročnosti
chirurgického zákroku
Objednat se na konzultaci
Typy a metody zubní implantace
Podle času mezi extrakcí zubu a zavedením implantátu se rozlišují dva typy implantace:
Immediátní implantace je postup, kdy se implantát zavádí okamžitě po extrakci zubu. Tento přístup zkracuje dobu hojení, protože pacient nemusí čekat na úplné zahojení rány před umístěním implantátu. Výhodou je také minimalizace ztráty čelistní kosti, která může nastat po extrakci zubu, protože implantát okamžitě stimuluje kost a zabraňuje jejímu úbytku.
Naopak odložená implantace znamená, že implantát je zaveden až po úplném zahojení kosti, což obvykle trvá 3 až 6 měsíců. Tento postup je vhodný zejména v případě rozsáhlejší ztráty kosti nebo pokud je přítomna infekce, která by mohla ovlivnit úspěšnost implantace. Při odložené implantaci se čeká na to, až se kost stabilizuje, což zajišťuje lepší podmínky pro následné zavedení implantátu
Podle způsobu zavádění implantátu rozlišujeme navigovanou a klasickou implantaci.
Navigovaná implantace je moderní metoda, která využívá počítačem řízené technologie k přesnému umístění zubních implantátů. Pomocí 3D skenu a specializovaného softwaru zajišťujeme maximální přesnost při zavádění implantátů, což minimalizuje riziko chyb a zajišťuje optimální výsledky. Tato metoda je obzvláště výhodná v komplikovaných případech, kdy je důležitá preciznost a šetrnost k okolním tkáním. Díky navigované implantaci je celý proces rychlejší, bezpečnější a má vyšší úspěšnost.
Opakem navigované implantace je klasická (nebo tradiční) implantace, která se provádí bez použití počítačové navigace a 3D zobrazení. Klasická implantace, která nevyužívá navigační technologie, se někdy označuje jako “volně z ruky” implantace. Při tradiční implantaci lékař spoléhá na vlastní zkušenosti a vizuální hodnocení při umístění implantátu. Tento postup může být náročnější, zejména pokud jde o složité případy, protože není tak precizní jako navigovaná implantace, která zaručuje větší přesnost a minimalizaci rizik.
Pooperační péče a doba rekonvalescence
Po implantaci zubního implantátu je důležitá správná pooperační péče, aby se zajistil úspěšný proces hojení a integrace implantátu do čelistní kosti. Po zákroku se mohou vyskytnout mírné otoky a citlivost v místě implantace, což je běžné a obvykle odezní během několika dní. Zubní lékař vám doporučí užívat léky proti bolesti a protizánětlivé léky, aby se minimalizovaly nepříjemnosti. Doporučuje se také ledování operované oblasti během prvních 24 hodin, aby se omezil otok.
Prvních několik dní po implantaci by pacient měl odpočívat a vyhýbat se intenzivní fyzické aktivitě. Strava by měla být měkká a chladná, aby nedošlo k podráždění operačního místa. Důležité je také dbát na pravidelnou ústní hygienu, avšak s opatrností, aby nedošlo k podráždění rány – doporučuje se použít ústní vodu doporučenou lékařem. V případě větších implantací, kde je potřeba delší hojení, může rekonvalescence trvat několik týdnů. Během této doby je klíčová pravidelná kontrola u zubního lékaře.


Kontraindikace aneb kdy implantáty nejsou doporučeny
Zubní implantáty nejsou vhodné pro každého, a existují určitá zdravotní omezení, která mohou ovlivnit úspěšnost implantace. Mezi hlavní kontraindikace patří:
- Nedostatečné množství kostní hmoty – Pokud je čelistní kost po ztrátě zubů příliš slabá nebo zúžená, může být nezbytné provést její augmentaci (zvýšení objemu kosti) před samotnou implantací.
- Zdravotní problémy – Pacienti s nediagnostikovanými nebo nekompenzovanými onemocněními, jako je cukrovka, osteoporóza nebo imunodeficience, mohou mít vyšší riziko komplikací nebo pomalejší hojení. Rovněž pacienti se srdečními onemocněními, které vyžadují pravidelný příjem léků na ředění krve, by měli podstoupit implantaci pouze pod přísným dohledem odborníka.
- Kouření – Kouření výrazně zvyšuje riziko infekce a zpomaluje hojení, což může ovlivnit úspěšnost implantace.
- Alergie na materiály – U některých pacientů může být problém s alergií na materiály použitými v implantátech (např. titan), ačkoliv alergie na titan jsou velmi vzácné. V takovém případě je možné zvolit alternativní materiály, jako je zirkon.
- Mladší věk – U pacientů, jejichž čelistní kost stále roste (obvykle pod 18–20 let), není implantace doporučena, protože kostní struktura ještě není dostatečně stabilní.


Je implantace riziková?
Zubní implantace je bezpečný zákrok s vysokou úspěšností, pohybující se kolem 95–98 %. Rizika jsou minimální, avšak mohou zahrnovat:
- infekci v místě implantace,
- nedostatečné srůstání implantátu s kostí,
- poškození nervu nebo sousedních struktur.
Rizika lze minimalizovat důkladným plánováním, zkušeným odborníkem a pečlivou pooperační péčí.


Údržba a péče o zubní implantáty
I když zubní implantáty jsou velmi trvanlivé a mohou vydržet mnoho let, je důležité o ně pravidelně pečovat. Údržba implantátů zahrnuje:
- Pravidelná ústní hygiena – Stejně jako u přirozených zubů je důležité pravidelně čistit implantáty. Doporučuje se používat měkký zubní kartáček a pastu, která nepoškodí povrch implantátu. Také je důležité pravidelně používat dentální nit nebo mezizubní kartáčky k vyčištění prostorů mezi implantáty.
- Kontroly u zubního lékaře – Pacient by měl pravidelně navštěvovat svého zubního lékaře pro kontroly, ideálně každých 6 měsíců. Lékař provede profesionální čištění a zkontroluje stav implantátů.
- Prevence infekcí – I když implantáty samotné nevedou k zubnímu kazu, je důležité chránit okolní tkáně před infekcemi (např. periimplantitidou). Pacienti by měli dbát na správnou techniku čištění a v případě jakýchkoliv příznaků zánětu navštívit lékaře.
Pokud se budete o své implantáty starat správně, mohou vám vydržet po mnoho let, nebo dokonce celý život.


Často kladené otázky
Na co se lidé ohledně zubních implantátů ptají nejčastěji?
Používáme pouze kvalitní zubní implantáty s téměř 100% úspěšností hojení. Díky špičkovým materiálům a preciznímu provedení zajišťujeme jejich dlouhodobou funkčnost a spolehlivost. Pokud by se implantát přesto nezhojil, poskytujeme záruku – implantát vám odstraníme a po zhojení kosti zavedeme nový.
V běžných případech se korunka nasazuje po 3-6 měsících. U některých pacientů je možné použít metodu immediátního zatížení, kdy se provizorní korunka nasazuje ihned po implantaci.
Po zavedení implantátu následuje období hojení (3-6 měsíců), během kterého se implantát pevně spojí s kostí. Poté se zhotoví otisk pro výrobu korunky a asi za 2-3 týdny se nasadí finální náhrada.
Péče o implantát je podobná péči o vlastní zuby:
- Důkladná každodenní ústní hygiena
- Používání speciálních mezizubních kartáčků
- Pravidelné kontroly u zubaře
- Profesionální dentální hygiena 2x ročně
Při správné péči a dodržování pravidelných kontrol mohou implantáty vydržet desítky let. Nabízíme doživotní záruku na implantáty Straumann a Neodent. Životnost korunky na implantátu je obvykle 10-15 let.
Zavedení implantátu probíhá v lokální anestezii, takže samotný zákrok je bezbolestný. Po odeznění anestezie můžete pociťovat mírný dyskomfort, který lze dobře zvládnout běžnými analgetiky. Většina pacientů se může druhý den vrátit do práce.